NHỮNG BỆNH THƯỜNG GẶP VÀO MÙA MƯA
Những cơn mưa kéo dài, cùng với độ ẩm cao, tạo môi trường thuận lợi cho các mầm bệnh sinh sôi nảy nở và lây lan mạnh hơn. Một số bệnh thường gặp trong mùa mưa như: cảm lạnh, cảm cúm, sốt rét, thương hàn,… có thể gây khó chịu cho cơ thể của bạn. Dưới đây là cách nhận biết và phòng tránh những bệnh thường gặp trong mùa mưa.
1. Cảm lạnh và cúm
Cảm lạnh và cúm là 2 trong số những bệnh phổ biến nhất trên thế giới. Mặc dù bệnh có thể tự khỏi sau 5-7 ngày, nhưng cũng không thể chủ quan, vì trong một vài trường hợp, bệnh có thể chuyển biến nặng sang viêm phế quản, viêm phổi và viêm tai,…
Cảm lạnh và cúm là do những loại virus khác nhau gây ra, nhưng các triệu chứng khá giống nhau, bao gồm: chảy nước mũi, nghẹt mũi, hắt hơi, đau họng, ho khan, mệt mỏi, chảy nước mắt,… Người bị cúm có thể xuất hiện thêm các triệu chứng: đau nhức cơ thể, nhức đầu, nhức hốc mắt, nôn mửa và tiêu chảy (thường gặp ở trẻ em), có thể gây sốt.
Một số cách để phòng tránh cảm lạnh và cúm:
- Tiêm vacxin phòng cúm, đặc biệt là trẻ em dưới 6 tháng tuổi và người lớn trên 65 tuổi, người bị bệnh đường hô hấp hoặc suy giảm miễn dịch.
- Uống nhiều nước, bổ sung đầy đủ vitamin và khoáng chất để tăng cường sức khỏe.
- Giữ ấm cơ thể.
- Thường xuyên súc miệng, họng bằng nước muối.
- Rửa tay sạch sẽ, đặc biệt là sau khi đi vệ sinh, trước và sau khi ăn, sau khi từ ngoài về, tránh đưa tay lên mắt, mũi, miệng.
- Tránh hút thuốc lá và uống rượu bia.
- Hạn chế tiếp xúc với người đang bị cảm lạnh và cúm.
2. Bệnh sốt xuất huyết, sốt rét
Đây là một căn bệnh truyền nhiễm cấp tính, lây lan do muỗi vằn đốt người bị bệnh nhiễm virus, sau đó truyền bệnh cho người lành. Sau mưa, lũ lượng nước còn tù đọng, thời tiết nóng ẩm tạo điều kiện cho virus thường, virus sốt rét và sốt xuất huyết phát triển, xâm nhập gây bệnh cho người.

Triệu chứng của bệnh:
- Người bị sốt rét biểu hiện bằng các cơn rét run toàn thân, sốt cao liên tục hoặc theo chu kì 1-3 ngày/ lần, nhức đầu, chóng mặt và buồn nôn, vã mồ hôi, mệt mỏi. Chu kỳ cơ sốt ở mỗi người sẽ khác nhau, tùy thuộc vào loại ký sinh trùng Plasmodium gây bệnh. Trong đó, P.falciparum là loại rất nguy hiểm, gây sốt rét nặng và có thể tử vong nếu không được điều trị kịp thời.
- Người bị sốt xuất huyết sẽ xuất hiện các triệu chứng sốt cao 39-40°C, sốt một cách đột ngột kéo dài 2-7 ngày, mệt mỏi, đau đầu, đau hốc mắt, đau cơ và khớp, có thể có phát ban. Khi bệnh trở nặng sẽ biểu hiện xuất huyết ngoài da, chảy máu cam, buồn nôn và nôn ói, đau bụng và tiêu chảy, chân tay lạnh, người vật vã, hốt hoảng,… Bệnh có thể trở nặng gây xuất huyết tiêu hóa, xuất huyết não và tử vong.
Chúng ta có thể phòng tránh bệnh bằng cách ngăn ngừa muỗi như:
- Phun thuốc diệt muỗi định kỳ trong nhà và khu vực xung quanh để diệt muỗi, bọ gậy và loăng quăng, đặc biệt là ở các bụi cỏ, lu nước, ao tù và các vũng nước đọng.
- Đậy kín dụng cụ chứa nước hoặc thả cá vào các bể chứa nước.
- Thường xuyên dọn dẹp sạch sẽ nhà cửa, thay nước thường xuyên trong các thau chậu, bình cắm hoa, tránh để nước tù đọng.
- Dọn dẹp, phát quang cây cỏ xung quanh nhà để tránh muỗi trú ngụ.
- Mặc quần áo dài tay và mắc màn khi ngủ kể cả ban ngày.
- Bôi thuốc phòng muỗi hoặc sử dụng các dụng cụ đuổi muỗi.
- Phối hợp với chính quyền hoặc các cơ sở y tế trong các đợt phun thuốc phòng muỗi.
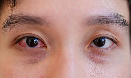
3. Đau mắt đỏ
Mưa nhiều làm nguồn nước dễ bị nhiễm bẩn, cùng độ ẩm cao, tạo điều kiện cho virus phát triển, làm tăng nguy cơ bị bệnh đau mắt đỏ. Bệnh có thể gặp cả ở người lớn và trẻ em, lây lan nhanh chóng trong cộng đồng, đặc biệt là gia tăng mạnh trong mùa mưa.
Người bị đau mắt đỏ sẽ có các biểu hiện: Cảm giác cộm, ngứa, nóng rát mắt, sưng mắt, đỏ mắt, nhìn mờ, mi mắt nặng, chảy nước mắt, nhạy cảm với ánh sáng, có thể sốt nhẹ. Thông thường bệnh sẽ khỏi trong 1 tuần, nhưng nếu không điều trị kịp thời có thể gây biến chứng giác mạc và giảm thị lực.

Bạn có thể phòng tránh đau mắt đỏ bằng cách:
- Giữ gìn vệ sinh cẩn thận, rửa tay thường xuyên và không đưa tay dụi mắt.
- Không dùng chung khăn mặt và thuốc nhỏ mắt với người khác.
- Tránh tiếp xúc với người bệnh.
4. Các bệnh về đường tiêu hóa
Một số bệnh về đường tiêu hóa có thể gặp trong mùa mưa lũ như: rối loạn tiêu hóa, tiêu chảy cấp, lỵ trực khuẩn, lỵ amid,…
Tiêu chảy cấp xảy ra do nhiễm ký sinh trùng Giadia, E.coli, trực khuẩn tả, Rota virus hoặc Norwalk virus. Biểu hiện của tiêu chảy cấp là tiêu chảy nặng, mệt mỏi, giảm cân, buồn nôn, chán ăn, chuột rút cơ bắp. Ở bệnh lỵ sẽ có các triệu chứng: đau bụng, mót rặn, đi phân có máu, có thể bị sốt.
Một số cách để phòng tránh bệnh đường tiêu hóa:
- Tiêm vacxin phòng bệnh tả cho trẻ trong 6 tháng đầu sau sinh.
- Thực hiện ăn chín, uống sôi. Với rau quả tươi cần được rửa bằng nước sạch và ngâm qua muối.
- Ăn thực phẩm dễ tiêu hóa, tránh ăn thực phẩm đã nguội hoặc có tính hàn.
- Bổ sung đầy đủ nước cho cơ thể.
- Bảo quản kín thức ăn, tránh để ruồi nhặng đậu vào thực phẩm.
- Rửa tay sạch sẽ và tránh tiếp xúc với chất thải của người bệnh.
5. Các bệnh về da
Khi tiếp xúc với nước mưa hoặc các vùng nước ngập ô nhiễm, có thể gây ra một số bệnh như: nước ăn chân, ghẻ, nấm, viêm nang lông, mụn, mẩn ngứa,…
Biểu hiện của các bệnh về da :
- Bệnh nước ăn chân (nấm kẽ chân) hay gặp khi chân bị ẩm ướt do mang giày liên tục. Biểu hiện ban đầu là những đám da chết màu trắng, lột da, đau rát, ngứa,… Sau đó bệnh có thể lan rộng, loét, nhiễm trùng sưng đau, ảnh hưởng đến việc đi lại. Nấm còn có thể xảy ra ở bàn chân, bàn tay, móng chân và móng tay.
- Ghẻ dễ xảy ra trong điều kiện vệ sinh kém, biểu hiện là những mụn nước ở kẽ ngón tay, rãnh ghẻ, nếp lằn ở cổ tay, vùng bụng, đùi non, mông bẹn, gây ngứa và có thể phát triển thành mụn mủ khó điều trị hơn.
- Viêm nang lông là tình trạng những mụn mủ nhỏ, ngứa,… xuất hiện ở chân lông nách, lông sinh dục, râu, lông mày và chân tóc, rất khó để có thể chữa khỏi hoàn toàn.
Một số bệnh ngoài da có thể gây lây lan, để phòng tránh bạn cần:
- Mặc áo mưa khi trời mưa, tránh tiếp xúc với nước mưa và đường ngập nước.
- Cần tắm rửa sạch sẽ và lau khô người sau khi đi mưa về.
- Quần áo, giày dép, chăn nệm cần được giặt giũ và phơi khô.
- Khi da bị tổn thương, có vết xước, ngứa, loét, cần vệ sinh bằng nước sạch, nước muối sinh lý hoặc bôi thuốc thích hợp, tránh gãi hay cào xước.
- Trong trường hợp cần thiết bạn cần đi khám da liễu để được kê thuốc điều trị dứt điểm.
6. Đau nhức xương khớp, đau cơ
Người lớn tuổi thường hay mắc các bệnh về cơ xương khớp khi mưa nhiều, lũ lụt, chuyển mùa. Trong ngày mưa hoặc thời tiết lạnh, các mạch máu ngoại vi giảm cung cấp máu cho cơ quan ngoại vi bao gồm da, cơ và khớp… gây triệu chứng như đau nhức xương khớp, co cứng cơ,…

Người bệnh luôn có cảm giác đau ở các khớp như: tay, khớp, vai và gối,… Các khớp sẽ khó cử động nhất là vào sáng sớm.
Để phòng bệnh và giảm đau xương khớp, điều tốt nhất nên làm là thường xuyên tập thể dục. Bên cạnh đó, người lớn tuổi cần có chế độ ăn uống hợp lý, bổ sung thực phẩm giàu vitamin C và E, Canxi, uống nhiều nước để duy trì sự trơn tru của các khớp.